医疗领域是应用3D打印技术较为深入的行业,骨科尤其如此。3D打印技术可以复制出患病关节的实物模型,特别对于关节翻修手术,可以确切评估骨缺损的程度,同时计算术中需要具体加强的结构,让术者可以提前模拟手术,精细化手术操作,大大缩短手术时间,减少手术并发症。
日前,成人导航 骨科关节外科张海军主任团队术前运用3D打印模型技术,模拟手术方案,成功为一髋关节置换术后髋臼松动的老年患者完成翻修手术。
2年里4次手术!
74岁的李大妈(化名),为我们讲述了她的故事:2021年6月,李大妈因为双侧股骨头坏死,行全髋关节置换术,术后恢复良好,日常生活行动自如。
2023年1月,李大妈感左侧髋部疼痛明显,活动受限,复诊提示左侧髋关节髋臼松动翻转,假体上移。
经熟人介绍,李大妈前往成人导航 关节外科张海军主任处看诊。详细评估患者病情后,张主任建议患者行髋关节翻修手术。但是经过查体和问诊,张主任发现李大妈还同时存在腰椎管狭窄症的症状,双下肢间歇性跛行,每次行走不超过200米就需要休息,腰椎核磁共振支持这一诊断,并且具有手术指征。
此时此刻,对于已经历过2次手术、74岁高龄的李大妈来说,无比纠结,“不手术意味着从此无法行走,失去生活质量,而多次的手术经历已让李大妈对更为复杂的翻修手术和腰椎手术心生恐惧”。经过医患双方反复沟通之后,李大妈最终决定手术。
2023年1月,我们在翻修术中发现,左髋关节假体周围灰白色渗出液体较多,不排除低毒性感染可能,随即改为抗生素骨水泥临时旷置过渡,二期再行翻修,幸运的是术后的细菌培养和病理报告并未提示细菌感染。患者术后拄拐可以下地行走,但双下肢沉重无力感依旧存在。
2023年3月在复查各项感染指标正常后,成人导航 白登彦主任脊柱团队为患者行腰椎后路减压融合手术,李大妈感觉效果很好,走路腿有劲了。
3D打印技术辅助下的高难度髋关节翻修
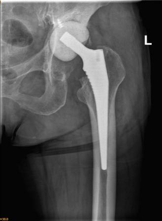
经过前期的治疗,现在左侧髋关节疼痛是影响李大妈生活质量的最大问题。通过对本次入院后髋关节CT的再次评估,张海军主任发现患者左侧髋臼骨缺损比3月前明显增多,普通假体无法完成手术,决定采用3D打印新技术评估髋臼缺损、模拟手术方案,经过3D打印模型和计算机测量评估,决定使用钽金属垫块和多孔钽杯重建髋臼。


依赖于术前准备充分,本例复杂髋关节翻修术不到2小时顺利结束。手术的顺利给了李大妈极大的信心,对她来讲,最大的心愿就是能尽快下地行走,我们团队为她量身定制个体化康复方案,经过几天的康复训练,李大妈生活基本自理,可以扶拐恢复行走,相信肌肉力量恢复后,李大妈回归正常生活的愿望很快就能实现!


通过成人导航 骨科各专业团队密切协作,借助于3D打印技术术前准确预判,个体化治疗及康复方案制定,以及医患之间的良好沟通,实现了手术精准化,创伤最小化,最大程度减少患者伤痛,提供优质医疗服务!


省二院骨科医生温馨提醒,髋关节置换后若出现以下4种情况,请您及时复查,以便在未造成严重后果的情况下得到及时诊治:
1.出现疼痛。
2.感觉不能受力、走路不方便。
3.关节活动出现问题。
4.双下肢逐渐不等长。
微信公众号
微博
头条